
Команда торакальних хірургів нашого Центру врятувала 3-річну дитину, яка не могла самостійно їсти та була у важкому стані. Лікування тривало впродовж 2-х років.
Історію маленького пацієнта розповіли у Центрі дитячої медицини львівського “Охматдиту”, пише ПІК.
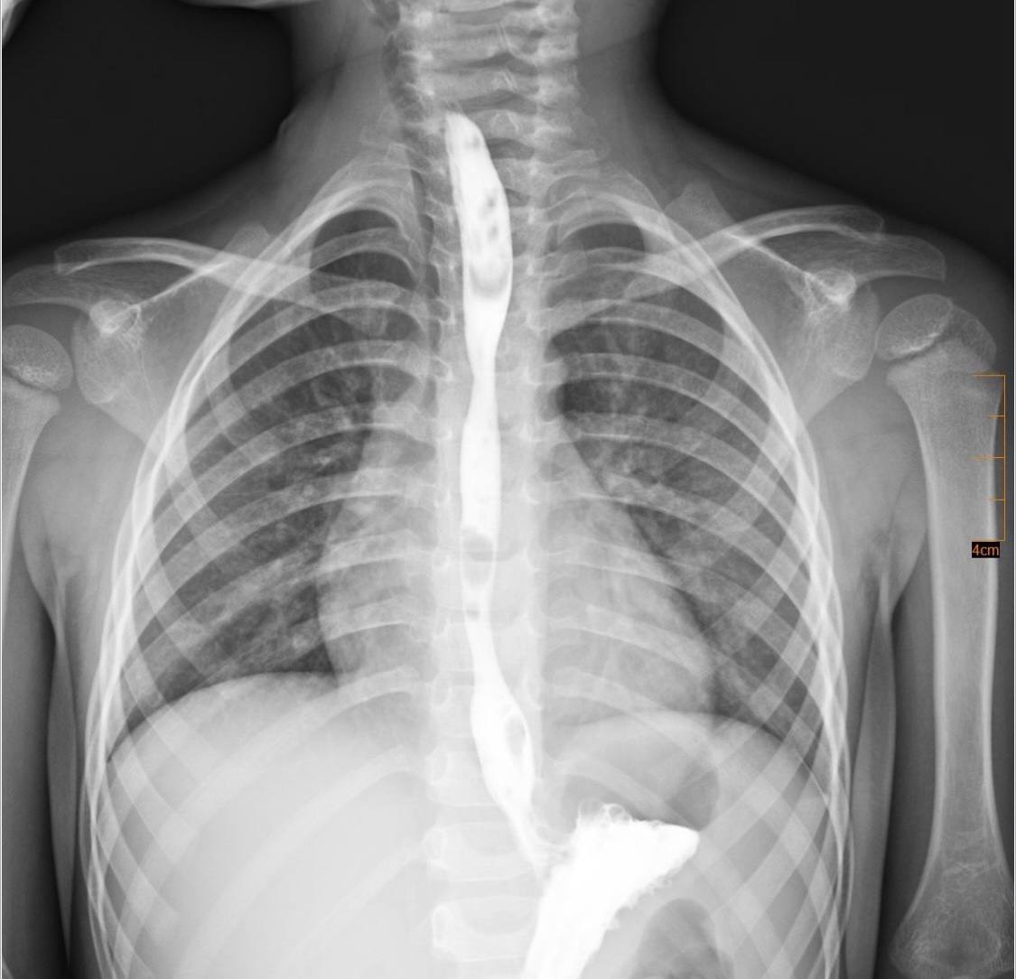
Дитина випадково проковтнула хімічну речовину з категорії побутової хімії, що призвело до тяжкого хімічного опіку стравоходу. На момент госпіталізації стан дитини був вкрай важким: вона не могла самостійно приймати їжу, страждала від вираженого болю, слинотечі та блювання. Малечу негайно госпіталізували до відділення інтенсивної терапії.

З огляду на тяжкість ураження та неможливість ентерального харчування, команда торакальних хірургів виконала оперативне втручання – накладання гастростоми. Це дозволило забезпечити повноцінне харчування без навантаження на уражений стравохід та стабілізувати загальний стан дитини.
Згодом у дитини сформувався критичний стеноз стравоходу – значне звуження його просвіту, що повністю унеможливлювало прийом їжі через рот.
Після ретельного обговорення мультидисциплінарною командою було ухвалено рішення про проведення серії балонних дилатацій стравоходу – малоінвазивних ендоскопічних втручань, під час яких звужену ділянку поступово розширюють спеціальним балоном без виконання розрізів.
«Це була складна, тривала та поетапна робота, але завдяки злагодженим діям команди нам вдалося уникнути великої травматичної операції», – зазначає керівник Клініки торакальної хірургії та реконструктивної урології у дітей лікарні “Охматдит” Центру дитячої медицини Олег Ленів.
На сьогодні маленький пацієнт їсть самостійно, активно росте, добре почувається та щодня тішить усіх своєю усмішкою.
Читайте також:
- Центр реабілітації святого Юди-Тадея в Івано-Франківську: сучасна фізична терапія для дітей, дорослих та військових
- Під покровом святого Юди-Тадея: як у Франківську реабілітують дітей і військових (ФОТО, ВІДЕО)